Facebook Twitter Vimeo VKontakte Youtube
  • Français
    • English (Anglais)
  • Douleur par région
    • Bassin
    • Bras
    • Cheville
    • Colonne
    • Cervicale
    • Coccyx
    • Dorsale
    • Lombaire
    • Côte
    • Coude
    • Cuisse
    • Dos
    • Épaule
    • Genou
    • Hanche
    • Jambe
    • L’aine
    • Main
    • Pied
    • Poignet
    • Poitrine
    • Tête
  • Au Féminin
    • Grossesse
    • Fonctions profondes du bassin
    • Grossesse et biomécanique
    • Muscles clés de la grossesse
Recherche
OsteoMag
LogoOsteoMag
  • Français
    • English (Anglais)
  • Douleur par région
    • TousBassinBrasChevilleColonne
      Compression nerveuse

      Syndrome de la Queue de Cheval : Symptômes et Traitement

      Ballet

      Blessures en Ballet : Comprendre, Prévenir et Soigner

      Dorsale

      Hypercyphose Thoracique : Redonner de l’Élan à la Colonne

      Pied

      Maladie de Sever : talon douloureux chez l’adolescent

  • Au Féminin
    • TousGrossesseFonctions profondes du bassinGrossesse et biomécaniqueMuscles clés de la grossesse
      Biomecanique

      À la Croisée des Postures : Décryptage des Changements Posturaux Pendant la Grossesse

      Grossesse

      Grossesse et bien-être : les bienfaits de l’ostéopathie pour la future maman

      Grossesse

      Découvrir le monde de votre bébé : l’importance de la mobilité de la tête

      Au Féminin

      Ostéoporose secondaire : comprendre les causes et la gestion

articles
Accueil Condition musculo-squelettique

Condition musculo-squelettique

Dernier
  • Dernier
  • Article en vedette
  • Les plus populaires
  • 7 jours populaire
  • Les mieux notés
  • Au hasard
Compression nerveuse

Syndrome de la Queue de Cheval : Symptômes et Traitement

13 février 2026
Tendinopathie

Quand les Auto-Ajustements Provoquent des Tendinites

Pied

Arches du pied : équilibre et mobilité pour une posture saine

2020 11 28 17 53 52 20 11zon
Arthrite

Comprendre et gérer l’hallux limitus et l’hallux rigidus

Lombaire

Approche Ostéopathique du Syndrome Facettaire Lombaire

2019-12-31_20-50-06
Arthrose

Spondylose lombaire : l’ostéopathie en solution

19 mars 2025
Condition auto-immune

Céline Dion : Résilience au Syndrome de la Personne Raide

31 janvier 2025
Adhesion fasciale

Les Fascias et la Douleur Chronique : Comment l’Ostéopathie Peut Aider

31 décembre 2024
Genou

Comprendre la faiblesse du VMO : causes et solutions

31 mars 2025
Colonne

La myélopathie du surfeur : étiologie, pathogenèse et évaluation

28 mars 2025
Compression artérielle

Syndrome costoclaviculaire

3 mars 2024
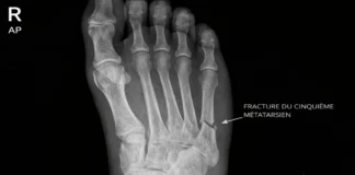
Fracture

Fractures Métatarsiennes : Identifier et Traiter les Blessures du Pied

7 mai 2025
Déchirure musculaire

Ruptures de l’appareil extenseur du genou

3 avril 2025
Au Féminin

Ostéoporose secondaire : comprendre les causes et la gestion

5 mai 2025
Knee
Entorse

Entorse au genou

24 mars 2024
123...18Page 1 sur 18
Managing Sciatica During Pregnancy: The Role of Osteopathy
Evolving Balance: Understanding Pregnancy's Impact on Center of Gravity
Celine Dion's Journey: Strength and Resilience in the Face of Stiff Person Syndrome

Choix de l'éditeur

Syndrome de la Queue de Cheval : Symptômes et Traitement

13 février 2026

Blessures en Ballet : Comprendre, Prévenir et Soigner

10 novembre 2025

Les Secrets de l’Ostéopathie : Un Chemin Vers la Guérison

9 novembre 2025

Articles populaires

osteoid osteoma

Ostéome Ostéoïde : Causes et Symptômes

30 décembre 2024

Conflit Sous-Acromial : L’Ostéopathie comme Solution

20 avril 2025
three types primary headaches

Maux de tête et l’ostéopathie

1 mai 2025

Catégorie populaire

  • Pied46
  • Lombaire39
  • Arthrose32
  • Cervicale30
  • Genou28
  • Épaule25
  • Compression nerveuse25
  • Principe24
  • Grossesse23
À PROPOS DE NOUS
Les objectifs d'Osteomag, formant le mot OSTEO, visent à ORIENTER vers des informations fiables, SENSIBILISER aux principes ostéopathiques, TRANSMETTRE des connaissances, ÉDUQUER avec des ressources éducatives, et OPTIMISER constamment l'expérience de santé musculo-squelettique.
Contactez-nous: contact@yoursite.com
  • Accueil
  • Ostéomag
  • Conditions générales d’utilisation
  • Cookies
  • Politique de Confidentialité
  • Crédits et droits d’images / DMCA
  • Contact
© Newspaper WordPress Theme by TagDiv