Facebook X Vimeo VKontakte Youtube
  • Français
    • English (Anglais)
  • Douleur par région
    • Bassin
    • Bras
    • Cheville
    • Colonne
    • Cervicale
    • Coccyx
    • Dorsale
    • Lombaire
    • Côte
    • Coude
    • Cuisse
    • Dos
    • Épaule
    • Genou
    • Hanche
    • Jambe
    • L’aine
    • Main
    • Pied
    • Poignet
    • Poitrine
    • Tête
  • Au Féminin
    • Grossesse
    • Fonctions profondes du bassin
    • Grossesse et biomécanique
    • Muscles clés de la grossesse
Recherche
OsteoMag
LogoOsteoMag
  • Français
    • English (Anglais)
  • Douleur par région
    • TousBassinBrasChevilleColonne
      Lombaire

      Libération de la Sciatique : Le Pouvoir Apaisant de l’Ostéopathie

      Côte

      Costochondrite : Soulagement Naturel et Durable Grâce à l’Ostéopathie

      Compression nerveuse

      Névralgie intercostale : causes, symptômes et traitement ostéopathique

      Fracture

      Tassement Vertébrale : Impact de la Compression sur le Dos

  • Au Féminin
    • TousGrossesseFonctions profondes du bassinGrossesse et biomécaniqueMuscles clés de la grossesse
      Biomecanique

      À la Croisée des Postures : Décryptage des Changements Posturaux Pendant la Grossesse

      Grossesse

      Grossesse et bien-être : les bienfaits de l’ostéopathie pour la future maman

      Développement moteur du nourrisson

      Le temps sur le ventre chez le nouveau-né : guide indispensable

      Grossesse

      Découvrir le monde de votre bébé : l’importance de la mobilité de la tête

articles
Accueil Condition musculo-squelettique Fracture

Fracture

Dernier
  • Dernier
  • Article en vedette
  • Les plus populaires
  • 7 jours populaire
  • Les mieux notés
  • Au hasard
Fracture

Tassement Vertébrale : Impact de la Compression sur le Dos

Fracture

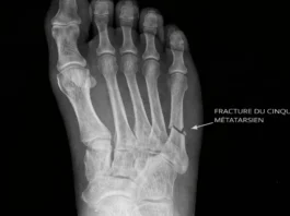
Fractures Métatarsiennes : Identifier et Traiter les Blessures du Pied

Fracture

Les 10 Fractures Fréquentes Liées à l’Ostéoporose : Comprendre l’Impact sur la Santé Osseuse

2020-12-02_1-12-06
Fracture

Fracture de Stress du Calcanéum : Causes et Traitements

Fracture

Os Fragiles : Causes et Solutions pour l’Ostéogenèse Imparfaite

shin
Fracture

Périostite Tibiale : Comprendre et Soigner Vos Douleurs

hip fracture
Fracture

Fracture de la Hanche chez les Personnes âgées

Managing Sciatica During Pregnancy: The Role of Osteopathy
Evolving Balance: Understanding Pregnancy's Impact on Center of Gravity
Celine Dion's Journey: Strength and Resilience in the Face of Stiff Person Syndrome

Choix de l'éditeur

Libération de la Sciatique : Le Pouvoir Apaisant de l’Ostéopathie

Costochondrite : Soulagement Naturel et Durable Grâce à l’Ostéopathie

Névralgie intercostale : causes, symptômes et traitement ostéopathique

Articles populaires

osteoid osteoma

Ostéome Ostéoïde : Causes et Symptômes

2020-11-19_3-35-27

Scoliose Juvénile : Comprendre et Traiter en Ostéopathie

Spondylose Cervicale : L’Ostéopathie pour le Soulagement

Catégorie populaire

  • Pied45
  • Lombaire39
  • Arthrose32
  • Cervicale30
  • Genou28
  • Épaule25
  • Compression nerveuse25
  • Principe24
  • Grossesse24
À PROPOS DE NOUS
Les objectifs d'Osteomag, formant le mot OSTEO, visent à ORIENTER vers des informations fiables, SENSIBILISER aux principes ostéopathiques, TRANSMETTRE des connaissances, ÉDUQUER avec des ressources éducatives, et OPTIMISER constamment l'expérience de santé musculo-squelettique.
Contactez-nous: contact@yoursite.com
  • Accueil
  • Ostéomag
  • Conditions générales d’utilisation
  • Cookies
  • Politique de Confidentialité
  • Crédits et droits d’images / DMCA
  • Contact
© Newspaper WordPress Theme by TagDiv