Facebook
Twitter
Vimeo
VKontakte
Youtube
English
Français
(
French
)
Pain Map
Ankle
Back arm
Chest
Elbow
Feet
Groin
Hand
Head
Hip
Knee
Leg
Pelvis
Rib
Shoulder
Spine
Thigh
TMJ
Wrist
Pediatry
Adolescent
Infant:
Newborn
Preschooler
School-Age Child
Toddler
Women
Female Hypermobility & Biomechanics
Pregancy
Structural Adaptations in Female Anatomy
Women health issue
Sport
Ballet
Baseball
Basketball
Bodybuilding
Exercise and stretch
Football
Golf
Hockey
Soccer
Surfing
Tennis
Mind-Body
Emotional Regulation Techniques
Emotional Transmission & Somatic Memory
Evolutionary Neuropsychology
Holistic Osteopathy
Holistic Public Health Perspectives
Intuition & Healing in Osteopathy
Mind‑Body Integration
Philosophy and Ethics in Healing
Psychogenealogy & Healing
Social Neuroscience & Connection
Somatic and Planetary Health
Somato‑Emotional Release Techniques
Somatosensory and Neurological Disorders
Spiritual‑Clinical Integration
History
Advocacy & Legal Struggles
Development of Osteopathy in Canada
Early Opposition & Recognition
Evidence-Based Osteopathy
Founders
Holistic Medicine Roots
Institutional Evolution
Medical Revolution
Philosophical Principles & Legacy
Pioneers
Techniques Through Time
Viscero‑Somatic Reflex Theory
Search
OsteoMag
OsteoMag
Home
About Us
Policies
Terms and Conditions of Use
Privacy Policy
Contact
English
Français
(
French
)
Pain Map
All
Ankle
Back arm
Chest
Elbow
Feet
Groin
Hand
Head
Hip
Knee
Leg
Pelvis
Rib
Shoulder
Suprascapular Nerve: Injuries and Osteopathic Treatment
When a Knee Injury Disrupts the Whole Body
Knee Anatomy: Dr. Eng’s Fascial Slip and IT Band Link
Foot Arches: Balance and Mobility for a Healthy Posture
Understanding and Managing Hallux Limitus and Hallux Rigidus
Scapulohumeral Rhythm: Balance and Mobility
Mastering the Spencer Technique in Osteopathy: A Comprehensive Guide
What If: Bipedalism—Evolutionary Triumph or TMJ Trade-off?
High-heeled shoes consequence on the spine
Understanding Vastus Medialis Obliquus (VMO) Weakness: Causes, Implications, and Solutions
Understanding the Complexities of Tinnitus: Factors and Management Strategies
Understanding the Intricate Biomechanics of Walking: Unveiling the Symphony of Forces, Joints, and Muscles in Foot Movement
Peroneal tendon disorders
Decoding Double Crush Syndrome: Osteopathy Insights
Pediatry
All
Adolescent
Infant:
Newborn
Preschooler
School-Age Child
Toddler
Osteopathy and Childhood Constipation: A Complete Approach for Natural Relief
Healing from Within: How Parental Anxiety Influences Child Behavior and the Role of Osteopathy
Understanding SIDS: The Role of Osteopathy in Infant Health and Safety
The Essential Guide to Tummy Time for Newborns
Unlocking Your Baby’s World: The Importance of Head Mobility
Viola Frymann: Pioneer of Pediatric Osteopathy
Understanding Legg-Perthes-Calvé Disease in Children
Juvenile scoliosis
Understanding and Managing Calcaneal Apophysitis in Adolescents
Elbow subluxation in children
Managing Inward Walking in Children: Osteopathic Care
Ewing Sarcoma: Understanding Symptoms and Treatment
Tarsal coalition
Osgood-Schlatter Disease: Knee Pain in Growing Teens
Women
All
Female Hypermobility & Biomechanics
Pregancy
Structural Adaptations in Female Anatomy
Women health issue
Managing Endometriosis with Osteopathy
At the Crossroads of Postures: Deciphering Postural Changes During Pregnancy
Female Body: Hypermobility & Structural Adaptations
Osteopathy and pregnancy
The Essential Guide to Tummy Time for Newborns
Unlocking Your Baby’s World: The Importance of Head Mobility
Vertebral Column Adaptation During Pregnancy
Evolving Balance: Shifting the Center of Gravity During Pregnancy
Secondary Osteoporosis: Understanding the Causes, Risks and Management
Choosing the Right Pregnancy Pillow for Support
The reasons why pregnant women don’t tip over
Folic acid and the prevention of certain birth defects
Exercise and bone health in women
Breastfeeding and vitamin and mineral deficiency
Sport
All
Ballet
Baseball
Basketball
Bodybuilding
Exercise and stretch
Football
Golf
Hockey
Soccer
Surfing
Tennis
Suprascapular Nerve: Injuries and Osteopathic Treatment
Foot Instability En Pointe: Ballet Challenges & Fixes
Deadlifts at the Gym: Should You Avoid Them or Include Them With Caution?
Benefits associated with sports warming
On Thin Ice: Navigating Hockey Injuries From the Rink to Recovery
Osteopathy for Sports Injuries: A Holistic Approach to Healing
Anabolic Steroids: An In-Depth Look at Their Misuse
Harmonious Swing: Optimize Your Performance with Osteopathy
Minor brachial plexus injuries (burners)
5 Common Soccer Injuries & Prevention
Surfer’s Myelopathy: Rare Spinal Injury Linked to Surfing
Extensor Carpi Ulnaris Tendonitis: Causes & Treatment
Rotator Cuff Tendinitis in Baseball Pitchers: Prevention & Care
Common injury among ballet dancers
Mind-Body
All
Emotional Regulation Techniques
Emotional Transmission & Somatic Memory
Evolutionary Neuropsychology
Holistic Osteopathy
Holistic Public Health Perspectives
Intuition & Healing in Osteopathy
Mind‑Body Integration
Philosophy and Ethics in Healing
Psychogenealogy & Healing
Social Neuroscience & Connection
Somatic and Planetary Health
Somato‑Emotional Release Techniques
Somatosensory and Neurological Disorders
Spiritual‑Clinical Integration
Critical Thinking in Health: A Lesson from Bonhoeffer
Confucius and Osteopathy: Healing Through Harmony
Contempt and Connection: How Division Affects Our Health & Society
A World in Crisis: Holistic Solutions for Global Health
The Identity of Pain: How Chronic Back Pain Shapes and Reflects Who We Are
Mind–Body Duality in Osteopathy: Restoring Inner Balance
Osteopathy and the Gut-Brain Connection: Enhancing Digestive Health for Better Mental Clarity
Osteopath and Shaman, an Unexpected Comparison?
Bridging Osteopathy and Energy Healing: An Integrated Approach
Theory of Mind: Cognitive Evolution and Social Connection
Miracle or Fate: Unraveling the Mysteries of Healing in Osteopathy
Healing from Within: How Parental Anxiety Influences Child Behavior and the Role of Osteopathy
Native American Medicine’s Influence on Osteopathy
Fate, Miracles & Osteopathy: Belief in Healing
History
All
Advocacy & Legal Struggles
Development of Osteopathy in Canada
Early Opposition & Recognition
Evidence-Based Osteopathy
Founders
Holistic Medicine Roots
Institutional Evolution
Medical Revolution
Philosophical Principles & Legacy
Pioneers
Techniques Through Time
Viscero‑Somatic Reflex Theory
Rediscovering Magnetism: The Hidden Legacy of Osteopathy
Osteopathy’s Origins: The 19th Century Rise of Alternative Medicine
Native American Medicine’s Influence on Osteopathy
Helen Keller’s Journey with Osteopathy Advocacy
John D. Rockefeller and Osteopathy: A Revolutionary Influence on American Healthcare
Enhancing Evidence-Based Practice in Canadian Osteopathy
The Foundation of Osteopathy
Carl P. McConnell, DO (1874–1939): A Pioneer in the Advancement of Osteopathy
William Garner Sutherland: Pioneer of Cranio-Osteopathy
John Martin Littlejohn: Visionary of Modern Osteopathy
The Medical Revolution of Andrew Taylor Still: Pioneer of Osteopathy in an Age of Medical Change
Rollin E. Becker: Pioneering Holistic Osteopathy for Comprehensive Wellness
Irvin M. Korr: Bridging Osteopathy and Neurophysiology
Viola Frymann: Pioneer of Pediatric Osteopathy
More
Search
articles
Home
Musculoskeletal Condition
Fracture
Fracture
Latest
Latest
Featured posts
Most popular
7 days popular
By review score
Random
Fracture
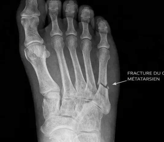
Metatarsal Fractures: Identifying and Treating Foot Injuries
10 January 2025
Fracture
Osteogenesis Imperfecta: Understanding Brittle Bones
Fracture
Stress Fracture Under Stress: Understanding the Strain on Your Bones
Fracture
Understanding Vertebral Compression Fractures and Care
Arthritis
Degenerative Spondylolisthesis and Osteopathy
Fracture
Shin Splints: From Diagnosis to Healing, a Holistic Approach
15 September 2024
Fracture
The Feet, Keys to Mobility and Stability: An Exploration of the...
4 April 2024
Fracture
Hip fracture in the elderly
23 September 2024