Hallux Valgus : Déformation fréquente du gros orteil
E2 — Hallux Valgus : Déformation fréquente du gros orteil
L’hallux valgus, communément appelé « oignon du pied », est une déformation articulaire progressive qui touche la base du gros orteil. Cette affection se caractérise par un déplacement latéral du premier orteil vers les autres orteils, accompagné d’une proéminence osseuse sur la face interne du pied. Cette protubérance, douloureuse et souvent inflammatoire, résulte d’un désalignement de l’articulation métatarsophalangienne, affectant la biomécanique globale du pied.
L’hallux valgus n’est pas une simple bosse esthétique : il s’agit d’une pathologie évolutive qui peut perturber l’équilibre, altérer la marche et réduire la qualité de vie. Elle touche une large part de la population, avec une prédominance nette chez les femmes. Ce déséquilibre s’explique en partie par des facteurs anatomiques, mais aussi par des choix de chaussures inadaptées, souvent trop étroites ou à talons hauts, qui favorisent la compression de l’avant-pied.
La genèse de cette déformation est multifactorielle. Parmi les causes identifiées, on retrouve la prédisposition génétique, les anomalies de l’architecture du pied (comme les pieds plats), la laxité ligamentaire, ainsi que les contraintes mécaniques répétées. La combinaison de ces facteurs entraîne progressivement une déviation du premier orteil vers l’extérieur (valgus), tandis que le premier métatarsien tend à s’écarter vers l’intérieur, accentuant l’angle entre les deux os. Ce processus crée une instabilité articulaire et favorise l’apparition de douleurs, de cors et de conflits avec la chaussure.
Le développement de l’hallux valgus s’inscrit dans une dynamique lente, souvent insidieuse. Les premiers signes peuvent passer inaperçus ou être minimisés, mais à mesure que la déviation s’aggrave, la gêne devient plus importante. La douleur n’est pas toujours proportionnelle à la taille de la déformation : certains patients présentent un hallux très dévié sans douleur marquée, tandis que d’autres ressentent une douleur vive avec une déviation modérée.
La déformation peut avoir des répercussions fonctionnelles notables : déséquilibres dans la répartition des appuis, altération de la posture et de la démarche, sur-sollicitation des autres orteils avec apparition de griffes ou de durillons. En réponse à la déviation, d’autres structures du pied, telles que les tendons ou les sésamoïdes, peuvent également se déplacer, aggravant la situation.
Si l’hallux valgus n’est pas traité à temps, il peut progresser jusqu’à nécessiter une intervention chirurgicale. Toutefois, la prise en charge précoce repose sur des mesures conservatrices comme l’adaptation du chaussage, le port d’orthèses plantaires, des exercices de renforcement, et un suivi régulier. L’objectif est de soulager les symptômes, ralentir la progression de la déformation, et préserver la fonction du pied.
L’hallux valgus constitue donc bien plus qu’un simple problème esthétique : il s’agit d’une pathologie articulaire évolutive, douloureuse et invalidante si elle est négligée. Une meilleure compréhension de ses mécanismes et une approche thérapeutique individualisée permettent d’en limiter l’impact sur la mobilité et la qualité de vie.
Mécanismes de formation de l’hallux valgus : étapes clés
L’apparition de l’hallux valgus résulte d’un enchaînement progressif de mécanismes biomécaniques, anatomiques et fonctionnels. Cette déformation du gros orteil ne survient pas de manière brutale, mais s’installe au fil du temps, sous l’effet de divers facteurs interagissant les uns avec les autres. Comprendre les étapes clés de sa formation permet de mieux cerner les causes profondes et d’anticiper une prise en charge adaptée.
La première étape est généralement une déviation latérale progressive de l’articulation métatarsophalangienne du gros orteil. Cette déviation débute souvent de manière imperceptible : le gros orteil commence à se rapprocher du deuxième orteil, tandis que le premier métatarsien s’écarte vers l’intérieur du pied. Ce changement d’axe crée un angle anormal, appelé angle d’hallux valgus, qui tend à s’amplifier si rien n’est entrepris.
Cette déviation s’accompagne d’une instabilité ligamentaire. Les ligaments qui entourent l’articulation perdent leur capacité à stabiliser efficacement les structures osseuses. En particulier, le ligament métatarsien médial s’étire, tandis que le ligament latéral se raccourcit, renforçant la bascule latérale de l’orteil.
Un facteur aggravant important est la précocité d’un premier métatarse hypermobile, parfois associé à une morphologie particulière du pied, comme un avant-pied large ou un pied plat. Cette hypermobilité favorise le déplacement du premier rayon et l’élargissement de l’angle intermétatarsien.
La pronation excessive du pied lors de la marche joue également un rôle clé. Ce mouvement entraîne un affaissement de la voûte plantaire médiale, modifiant l’axe des forces s’exerçant sur le gros orteil et accentuant sa déviation. Lorsque ce schéma se répète quotidiennement, il finit par remodeler les structures anatomiques.
Un facteur externe fréquent est le port régulier de chaussures étroites ou à talons hauts. Ces chaussures compriment l’avant-pied, favorisent la surcharge sur la tête du premier métatarsien, et forcent le gros orteil à s’orienter vers les autres orteils, renforçant ainsi la déformation.
Sur le plan musculaire, un déséquilibre s’installe progressivement. Le tendon abducteur de l’hallux, normalement positionné en médial pour stabiliser l’orteil, est déplacé latéralement par la déformation. Il devient alors incapable de contrer la traction des muscles opposés, comme l’adducteur de l’hallux ou le long fléchisseur, qui accentuent la traction vers l’intérieur.
Enfin, une exostose (bosse osseuse) se forme progressivement à la base du gros orteil, sous l’effet de la friction chronique avec la chaussure. Cette excroissance est souvent douloureuse et constitue le signe visible classique de l’hallux valgus.
Ces différentes étapes — déviation articulaire, instabilité ligamentaire, déséquilibres musculaires, pression mécanique et formation osseuse — interagissent dans un cercle vicieux. Sans intervention, la déformation s’aggrave et devient de plus en plus invalidante. La compréhension fine de ces mécanismes est donc essentielle pour orienter une prise en charge préventive ou thérapeutique adaptée.
Impact biomécanique de l’hallux valgus sur le pied
L’hallux valgus, en modifiant la structure du premier rayon du pied, entraîne une cascade d’altérations biomécaniques. La fonction normale du pied repose sur un équilibre subtil entre les forces musculaires, ligamentaires et les axes articulaires. Lorsque cet équilibre est rompu, comme dans le cas d’un hallux valgus, tout le fonctionnement du pied — et au-delà, de la posture — peut être perturbé.
Le premier élément biomécanique affecté est l’alignement de l’articulation métatarsophalangienne. Dans un pied sain, cette articulation permet une propulsion efficace lors de la phase terminale de la marche. Or, avec l’hallux valgus, le gros orteil dévié latéralement perturbe ce mouvement de déroulement, ce qui oblige le corps à compenser par une surcharge sur les autres orteils ou sur l’extérieur du pied. Cette redistribution anormale des forces peut entraîner des douleurs métatarsiennes secondaires, des durillons ou des griffes d’orteils.
En parallèle, la tête du premier métatarsien tend à se déplacer médialement. Cela provoque un élargissement de l’avant-pied (avant-pied évasé), souvent mal toléré dans des chaussures standards. Ce déplacement perturbe également le fonctionnement des sésamoïdes, petits os situés sous la tête du premier métatarsien, essentiels à la stabilité articulaire. Leur mauvaise position augmente la pression plantaire sous l’avant-pied, ce qui peut conduire à une inflammation chronique ou à une métatarsalgie.
La voûte plantaire est également impactée. Chez de nombreux patients atteints d’hallux valgus, on observe une baisse de la hauteur de l’arche médiale. Cela favorise une pronation excessive du pied, réduisant l’efficacité du mécanisme de propulsion et sollicitant excessivement certaines structures tendineuses comme le tibial postérieur. Cette instabilité peut s’étendre au reste du membre inférieur, affectant genoux, hanches, et même la colonne lombaire.
Un autre élément important est le déséquilibre musculaire entre les muscles agissant sur le gros orteil. Les muscles intrinsèques du pied, en particulier l’abducteur de l’hallux, sont progressivement affaiblis ou désaxés. Par contraste, les muscles latéraux comme l’adducteur de l’hallux prennent le dessus, accentuant encore la traction vers l’intérieur. Ce déséquilibre est souvent aggravé par des chaussures inadaptées, qui empêchent une fonction musculaire optimale.
La démarche des patients atteints d’hallux valgus est fréquemment altérée. Pour limiter la douleur ou compenser la déformation, ils adoptent une marche d’évitement, avec transfert du poids sur le bord latéral du pied. Ce schéma de marche compensatoire peut entraîner une fatigue musculaire accrue, des douleurs diffuses et des troubles posturaux.
Enfin, l’évolution chronique de l’hallux valgus peut conduire à des formes arthrosiques de l’articulation métatarsophalangienne, limitant l’amplitude articulaire et aggravant les troubles biomécaniques.
L’étude de la biomécanique du pied dans l’hallux valgus permet donc non seulement de comprendre la progression de la déformation, mais aussi de guider les traitements : orthèses, exercices de renforcement, choix de chaussures, ou indications chirurgicales selon les atteintes fonctionnelles observées.
Rôle du premier métatarse court dans la déviation
Le raccourcissement relatif du premier métatarse, bien qu’anatomiquement discret, joue un rôle central dans la genèse et l’aggravation de l’hallux valgus. Il s’agit d’un facteur biomécanique souvent sous-estimé, mais dont les conséquences sur l’équilibre du premier rayon sont majeures.
Dans un pied sain, le premier métatarse doit supporter une grande partie du poids corporel lors de la propulsion, notamment grâce à sa longueur adaptée et à l’alignement harmonieux avec le gros orteil. Lorsqu’il est plus court que le deuxième métatarse, cette harmonie est rompue. Le premier rayon devient alors fonctionnellement instable et incapable de remplir correctement son rôle d’amortisseur et de stabilisateur durant la phase d’appui.
Ce raccourcissement favorise une hypermobilité du premier métatarse, qui se déplace plus facilement en direction médiale. Ce déplacement altère l’angle intermétatarsien (entre M1 et M2) et contribue directement à l’apparition de l’hallux valgus. Le premier métatarse, mal positionné, perd sa capacité à servir de pilier central à l’avant-pied, ce qui pousse le gros orteil vers les autres orteils.
Ce phénomène est d’autant plus aggravé lorsqu’il existe une laxité ligamentaire ou un pied plat associé. L’arche interne du pied s’affaisse, ce qui entraîne une pronation excessive et renforce la bascule du premier métatarse. Ainsi, l’instabilité mécanique s’associe à une mauvaise répartition des charges sur l’avant-pied, avec un transfert de poids vers le deuxième métatarsien. Celui-ci peut alors développer des douleurs, une métatarsalgie, voire une surcharge articulaire.
Sur le plan musculaire, ce désalignement structurel crée un déséquilibre entre les forces de traction exercées par les muscles fléchisseurs, extenseurs, abducteurs et adducteurs du gros orteil. Le court métatarse favorise la mise en tension du long fléchisseur, dont la trajectoire accentue la traction médiale du gros orteil, agissant à la manière d’une corde d’arc.
Lorsque ce type de pied prédisposé est combiné au port de chaussures étroites ou à talons hauts, la pression externe sur l’avant-pied vient renforcer la déviation. Les talons provoquent un déplacement du poids corporel vers l’avant du pied, et les pointes serrées forcent les orteils à s’entasser, accentuant mécaniquement la déformation.
En clinique, le raccourcissement du premier métatarse est parfois difficile à percevoir sans un examen radiographique précis. Il peut être mesuré par comparaison avec la longueur des autres métatarsiens, notamment M2. Cette mesure permet de mieux comprendre les causes de l’hallux valgus chez certains patients, notamment lorsque la déformation progresse malgré des mesures conservatrices.
D’un point de vue thérapeutique, ce facteur influence les décisions orthopédiques. Dans certains cas, une ostéotomie d’allongement du premier métatarse peut être envisagée pour rétablir l’équilibre du premier rayon et limiter la récidive post-chirurgicale.
En résumé, un premier métatarse court ne constitue pas seulement une variation anatomique : c’est un facteur déclencheur et aggravant de l’hallux valgus. Son rôle doit être évalué avec attention dans toute démarche diagnostique ou thérapeutique.

(A) Un premier métatarsien plus court que le deuxième induit une instabilité du premier rayon, le rendant hypermobile. Cette hypermobilité favorise une déviation latérale du gros orteil.
(B) Cette déviation est amplifiée par des déséquilibres musculaires, en particulier au niveau des muscles abducteurs et adducteurs, qui tirent le gros orteil vers les autres orteils.
(C) Le port de chaussures à talons hauts et à bout étroit accentue la pression sur la partie médiale de l’articulation métatarso-phalangienne, aggravant la déviation et contribuant à la formation de la protubérance osseuse connue sous le nom d’« oignon ».
(D) L’axe de propulsion du pied se déplace latéralement, ce qui accentue la surcharge mécanique sur les têtes métatarsiennes latérales et perturbe l’équilibre biomécanique de l’avant-pied.
Souhaitez-vous que j’ajoute une version avec une numérotation visuelle sur l’image ?
4o
Prévalence
- Population : 23 % des adultes de 18 à 65 ans et 35,7 % des adultes de plus de 65 ans
- Femmes : 30%
- Hommes : 13%
- Personnes âgées : 35,7 %
Principales causes de l’hallux valgus
L’hallux valgus est une affection multifactorielle, résultant d’une interaction complexe entre des facteurs anatomiques, biomécaniques, environnementaux et parfois pathologiques. Identifier ces causes est essentiel pour adapter la prise en charge à chaque individu et prévenir l’aggravation de la déformation.
L’un des facteurs les plus déterminants est la prédisposition génétique. De nombreuses études ont montré que l’hallux valgus peut être héréditaire, en particulier chez les femmes. Une personne dont un ou plusieurs membres de la famille présentent cette déformation a un risque accru de développer la même condition. Cette transmission ne concerne pas directement l’oignon lui-même, mais plutôt la forme du pied (pied plat, avant-pied large, hypermobilité articulaire) qui prédispose à la déviation.
La morphologie du pied est un autre facteur clé. Les pieds plats, les pieds pronateurs ou les pieds à voûte plantaire affaissée altèrent la répartition des appuis lors de la marche. Ce déséquilibre biomécanique favorise une surcharge sur le premier rayon et crée des forces de cisaillement qui dévient progressivement le gros orteil.
Le sexe joue également un rôle important. L’hallux valgus est significativement plus fréquent chez les femmes, notamment à cause de caractéristiques anatomiques (pelvis plus large, ligaments plus souples) et de facteurs culturels et vestimentaires. Le port régulier de chaussures à talons hauts ou à bouts étroits exerce une pression excessive sur l’avant-pied, ce qui accentue la déviation du gros orteil vers les autres orteils.
L’âge est aussi un facteur de risque. Avec le temps, les tissus de soutien du pied s’assouplissent, les ligaments perdent de leur tonus, et les articulations deviennent plus vulnérables aux déformations. On estime que la prévalence de l’hallux valgus passe de 23 % chez les adultes de 18 à 65 ans à près de 36 % après 65 ans.
Certaines pathologies inflammatoires chroniques, comme la polyarthrite rhumatoïde, peuvent contribuer à la formation de l’hallux valgus. Ces maladies affectent les articulations en provoquant des douleurs, des déformations et une destruction progressive du cartilage. Le gros orteil n’y échappe pas, et la déviation peut être rapide et sévère.
Les traumatismes du pied, notamment ceux touchant l’articulation métatarsophalangienne, peuvent désorganiser l’alignement normal de l’orteil et initier un processus de déviation. Même un traumatisme ancien et mal consolidé peut engendrer, des années plus tard, une instabilité propice à l’hallux valgus.
La laxité ligamentaire constitue un autre terrain favorable. Elle peut être constitutionnelle ou liée à des facteurs hormonaux (grossesse, ménopause) et favorise la perte de stabilité articulaire, ce qui rend le gros orteil plus vulnérable aux déviations progressives.
Enfin, certaines activités professionnelles ou sportives qui impliquent de longues stations debout ou des charges répétées sur les avant-pieds (danse, hôtellerie, métiers de la vente, etc.) peuvent aggraver ou précipiter l’apparition d’un hallux valgus.
Ainsi, l’hallux valgus ne résulte jamais d’un seul facteur isolé. C’est la combinaison de plusieurs causes, parfois silencieuses au début, qui aboutit à cette pathologie évolutive. Une évaluation globale du patient est indispensable pour en comprendre l’origine et proposer une stratégie adaptée.

Symptômes fréquents de l’hallux valgus

Les symptômes de l’hallux valgus peuvent varier en fonction de la gravité de la déformation. Voici quelques-uns des symptômes courants associés à cette affection :
- Bosse visible : La présence d’une bosse ou d’une protubérance osseuse sur le côté du pied, à la base du gros orteil, est l’un des signes caractéristiques de l’hallux valgus.
- Déviation du gros orteil : Le gros orteil est dévié vers le deuxième orteil, ce qui entraîne un mauvais alignement des orteils.
- Douleur : La douleur peut survenir au niveau de l’articulation du gros orteil, notamment lors de la marche ou lorsque vous portez des chaussures inappropriées.
- Inflammation : Une inflammation peut se développer autour de l’articulation touchée, provoquant une rougeur et un gonflement.
- Raideur articulaire : certaines personnes peuvent ressentir une raideur ou des difficultés à bouger le gros orteil.
- Formation de cors ou de callosités : En raison de la pression exercée par les chaussures, des cors ou des callosités peuvent se former sur la bosse ou sur d’autres parties du pied.
- Changements dans la marche : Pour éviter la douleur, une personne atteinte d’hallux valgus peut modifier sa marche, ce qui peut entraîner d’autres problèmes au niveau des pieds, des genoux ou du dos.
Vivre avec un oignon au pied : témoignage et quotidien
Pour de nombreuses personnes, vivre avec des oignons est un combat quotidien marqué par la douleur, l’inconfort et les ajustements de style de vie. Comprendre le point de vue du patient est essentiel pour comprendre l’impact complet de cette maladie au-delà des symptômes cliniques. Nous nous penchons ici sur les expériences de ceux qui naviguent dans la vie avec des oignons, en soulignant les défis physiques, émotionnels et sociaux auxquels ils sont confrontés.
Douleur et inconfort physiques
L’impact le plus immédiat et le plus notable des oignons est la douleur physique. Cette douleur est souvent exacerbée par la marche, la station debout prolongée ou le port de certains types de chaussures. De nombreux patients décrivent la douleur comme une douleur lancinante constante qui s’intensifie avec l’activité. Un gonflement et une rougeur autour de l’articulation touchée sont fréquents, ce qui contribue encore plus à l’inconfort. La déformation peut également entraîner le développement de callosités et de cors en raison de la répartition anormale de la pression sur le pied.
Trouver des chaussures confortables devient un véritable défi. Les chaussures étroites ou serrées, courantes dans de nombreux environnements professionnels, peuvent aggraver l’oignon, ce qui rend difficile le respect des codes vestimentaires sans ressentir de fortes douleurs. Même les options de chaussures décontractées peuvent devenir limitées, car de nombreuses chaussures standard ne s’adaptent pas à la forme modifiée du pied.
Impact émotionnel et psychologique
La douleur persistante et les limitations physiques causées par les oignons peuvent avoir des conséquences néfastes sur le bien-être émotionnel et psychologique d’une personne. La douleur chronique peut entraîner des sentiments de frustration, d’impuissance et même de dépression. L’incapacité de participer à des activités appréciées, comme le sport, la danse ou les longues promenades, peut provoquer un sentiment de perte et d’isolement.
Des problèmes d’image corporelle peuvent également survenir, en particulier chez les personnes qui se sentent gênées par l’apparence de leurs pieds. Cette déformation visible peut rendre les personnes réticentes à porter des chaussures ouvertes ou à marcher pieds nus dans les lieux publics, ce qui entraîne une diminution de la qualité de vie et un retrait social.
Adaptations sociales et de style de vie
Les oignons nécessitent une série d’adaptations du mode de vie. Des activités simples comme faire les courses, assister à des événements sociaux ou jouer avec les enfants peuvent devenir des tâches intimidantes en raison de la douleur et de la mobilité limitée. De nombreux patients déclarent devoir planifier leurs journées en fonction de leur douleur au pied, évitant souvent les situations où ils pourraient avoir besoin de rester debout ou de marcher pendant de longues périodes.
Sur le plan social, cette condition peut entraîner un sentiment d’isolement. Il est fréquent que les personnes atteintes de cette maladie déclinent les invitations par crainte d’aggraver la douleur ou par gêne quant à l’apparence de leurs pieds. Cet isolement peut contribuer à un cycle de diminution de l’activité physique, ce qui nuit encore davantage à la santé et au bien-être général.
À la recherche d’un soulagement et d’un traitement
Les patients cherchent souvent à soulager leur douleur par divers moyens, notamment des analgésiques en vente libre, des appareils orthopédiques et des changements de chaussures. Bien que ces mesures puissent apporter un soulagement temporaire, elles ne parviennent souvent pas à résoudre le problème sous-jacent. Pour beaucoup, la perspective d’une intervention chirurgicale est intimidante, mais parfois nécessaire pour obtenir un soulagement à long terme. Le processus de récupération après une opération de l’oignon peut être long et difficile, mais des résultats positifs peuvent améliorer considérablement la qualité de vie d’un patient.
Facteurs de risque des oignons
Plusieurs facteurs de risque peuvent contribuer au développement de l’hallux valgus. Ces facteurs peuvent varier d’une personne à l’autre et souvent une combinaison de ces éléments peut conduire à la formation de cette déformation. Les principaux facteurs de risque comprennent :
- Génétique : une prédisposition génétique peut jouer un rôle dans le développement de l’hallux valgus. Si des membres de la famille ont des antécédents de cette pathologie, le risque peut être accru.
- Sexe : Les femmes sont plus susceptibles de développer des oignons que les hommes. Cela peut être attribué aux différences de structure du pied, au choix des chaussures et aux fluctuations hormonales.
- Âge : Le risque d’hallux valgus augmente avec l’âge. Des déformations du pied peuvent se développer et s’aggraver avec le temps.
- Type de pied : Certains types de pieds, tels que les pieds plats, les pieds larges ou les pieds avec une pronation excessive, peuvent être associés à un risque accru d’hallux valgus.
- Chaussures inappropriées : Le port fréquent de chaussures étroites, pointues, à talons hauts ou mal ajustées peut exercer une pression excessive sur l’articulation du gros orteil, contribuant à la formation d’un oignon.
- Activité professionnelle : Certaines professions ou activités qui nécessitent de rester debout pendant de longues périodes peuvent augmenter le risque d’hallux valgus.
- Maladies inflammatoires : Des maladies telles que la polyarthrite rhumatoïde, qui impliquent une inflammation des articulations, peuvent augmenter le risque de développer une déformation du pied.
- Laxité ligamentaire : Une laxité ligamentaire excessive peut favoriser une déviation de l’articulation du gros orteil.
Il est important de noter que la présence de ces facteurs de risque ne conduit pas nécessairement au développement de l’hallux valgus, mais ils peuvent contribuer à sa formation.
Autres pathologies à différencier de l’hallux valgus
Le diagnostic de l’hallux valgus semble souvent évident en raison de sa présentation clinique typique : déviation latérale du gros orteil, bosse douloureuse à la base de l’articulation, gêne au chaussage. Toutefois, plusieurs pathologies peuvent imiter ou coexister avec cette déformation, rendant le diagnostic différentiel essentiel pour éviter les erreurs thérapeutiques et mieux cibler les interventions.
L’une des principales affections à évoquer est la polyarthrite rhumatoïde. Cette maladie inflammatoire chronique peut provoquer des déformations articulaires importantes, y compris au niveau du gros orteil. Contrairement à l’hallux valgus pur, les atteintes de la polyarthrite sont souvent bilatérales et symétriques, avec des douleurs inflammatoires, un enraidissement matinal prolongé, et des signes systémiques. La déformation articulaire n’est pas seulement mécanique : elle est liée à l’inflammation destructrice des tissus synoviaux. Une attention particulière doit être portée aux signes extra-articulaires, à l’évolution rapide et aux antécédents familiaux.
Une autre pathologie à considérer est la goutte, qui se manifeste typiquement par une inflammation aiguë de l’articulation du gros orteil (podagre). Cette crise est brutale, extrêmement douloureuse, souvent accompagnée de rougeur, chaleur locale et œdème marqué. Contrairement à l’hallux valgus, la goutte est d’apparition soudaine, avec des épisodes entrecoupés de périodes asymptomatiques. Elle est liée à un excès d’acide urique dans le sang, provoquant des dépôts de cristaux dans les articulations.
La bursite située au niveau de la première articulation métatarsophalangienne peut aussi prêter à confusion. Cette inflammation de la bourse synoviale adjacente à l’articulation crée une douleur locale, un gonflement, et parfois une rougeur. Si elle survient sur un fond d’hallux valgus, elle accentue les douleurs perçues, mais elle peut également exister isolément. L’imagerie, notamment l’échographie, peut aider à différencier une bursite d’une exostose osseuse.
Le névrome de Morton, bien que localisé entre les 3e et 4e orteils, peut entraîner des douleurs irradiantes dans l’avant-pied, parfois confondues avec une douleur d’hallux valgus. Ce névrome est une inflammation d’un nerf digital interdigital, souvent liée à des compressions répétées dans des chaussures étroites. Il se manifeste par des sensations de brûlure, d’engourdissement ou de « choc électrique » à la marche.
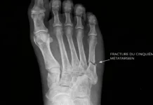
Une fracture du pied, notamment une fracture de fatigue du premier métatarsien, peut se présenter avec une douleur aiguë, un gonflement localisé et une boiterie. En l’absence de traumatisme évident, ces douleurs peuvent être confondues avec une poussée douloureuse d’un hallux valgus évolué. L’imagerie est alors indispensable.
Enfin, des pathologies neurologiques comme le syndrome du tunnel tarsien peuvent occasionner des douleurs plantaires ou des irradiations vers les orteils, parfois trompeuses. La présence de paresthésies, de brûlures, ou d’une douleur à l’effort doit orienter vers une origine nerveuse.
En conclusion, bien que l’hallux valgus soit généralement reconnaissable cliniquement, plusieurs affections peuvent le mimer ou le compliquer. Une évaluation rigoureuse, associant examen clinique, anamnèse détaillée et examens complémentaires (radiographie, échographie, bilan biologique), est indispensable pour poser un diagnostic précis et proposer une prise en charge ciblée.
Bien choisir ses chaussures en cas d’hallux valgus
- Pointe large : Optez pour des chaussures avec une pointe large qui permet à vos orteils de bouger librement sans être comprimés, réduisant ainsi la pression sur l’articulation du gros orteil.
- Bout en D : privilégiez les chaussures à bout en D plutôt qu’à bout pointu. Les chaussures à bout étroit peuvent aggraver l’hallux valgus en comprimant les orteils.
- Talons bas : Préférez les chaussures à talons bas pour réduire la pression sur l’avant du pied. Les talons hauts peuvent accentuer la déviation du gros orteil.
- Semelles amovibles : si possible, choisissez des chaussures avec des semelles amovibles. Cela permet de les ajuster pour s’adapter aux semelles orthopédiques personnalisées si nécessaire.
- Matériaux souples : Optez pour des chaussures fabriquées avec des matériaux souples et souples qui s’adaptent à la forme du pied, réduisant ainsi les frottements et les irritations.
- Soutien de la voûte plantaire : Un soutien de la voûte plantaire léger peut aider à stabiliser le pied. Cependant, il est essentiel que le soutien ne soit pas trop prononcé pour éviter de créer une pression supplémentaire sur l’avant du pied.
- Fermetures réglables : Choisissez des chaussures avec des fermetures réglables, telles que des lacets ou des sangles, pour permettre un ajustement personnalisé.
- Essayez vos chaussures le soir : essayez vos chaussures le soir, lorsque vos pieds sont souvent légèrement gonflés, pour avoir une meilleure idée du confort tout au long de la journée.
- Essayez avec des orthèses : si vous utilisez des orthèses, assurez-vous d’essayer des chaussures avec elles pour garantir un ajustement confortable.
- Évitez les chaussures étroites ou à talons hauts : Évitez les chaussures étroites, pointues, à talons hauts ou les chaussures dont la forme exerce une pression excessive sur l’avant du pied.
Chaque personne est unique et il est essentiel de trouver des chaussures qui offrent confort et soutien adaptés aux besoins individuels.
Options de traitement : conservateur et chirurgical
Approches conservatrices : soulager sans opérer
- Modification de chaussures : Chaussures larges et à talons bas.
- Orthèses : Améliore l’alignement et le soutien.
- Analgésiques : paracétamol.
- Glace : Appliquez de la glace sur la déformation enflammée pour réduire l’inflammation.
- Coussinets pour oignons : préviennent l’irritation de la déformation HV.
- Étirements : Aide à maintenir la mobilité de l’articulation touchée.
Les oignons deviennent douloureux si on les laisse progresser. Mais tous les oignons ne progressent pas nécessairement. De nombreux problèmes d’oignons peuvent être traités sans chirurgie. En général, les oignons qui ne sont pas douloureux ne nécessitent pas de correction chirurgicale. Pour cette raison, les chirurgiens orthopédiques ne recommandent pas de chirurgie « préventive » pour les oignons qui ne sont pas douloureux ; avec des soins préventifs appropriés, ils peuvent ne jamais devenir un problème.
Traitements chirurgicaux : ostéotomie et arthroplastie
Ostéotomie
L’ostéotomie pour le traitement de l’hallux valgus (oignon) est une intervention chirurgicale qui consiste à couper et à réorienter les os de l’articulation métatarsophalangienne (MTP) à la base du gros orteil. L’objectif de l’ostéotomie est de corriger la déviation du gros orteil, de réaligner l’articulation et d’améliorer la fonction du pied.
Voici quelques points clés sur l’ostéotomie de l’hallux :
- Indications : L’ostéotomie est généralement envisagée pour traiter l’hallux valgus lorsque les mesures non chirurgicales, telles que le port de chaussures appropriées, l’utilisation d’orthèses et la physiothérapie, ne parviennent pas à soulager les symptômes et à corriger la déformation de manière satisfaisante.
- Techniques chirurgicales : Il existe différentes techniques d’ostéotomie pour l’hallux valgus, et le choix dépend de la gravité de la déformation et des caractéristiques spécifiques du pied. Les interventions peuvent impliquer la coupe et la réorientation de l’os métatarsien (ostéotomie proximale) ou de l’os phalangien (ostéotomie distale).
- Correction de l’angle : l’ostéotomie réduit l’angle intermétatarsien (IM), corrigeant ainsi la déviation vers l’intérieur du gros orteil.
- Fixation : Une fois l’ostéotomie réalisée, les os peuvent être fixés en place à l’aide de vis, de plaques ou d’autres dispositifs de fixation pour permettre une bonne guérison.
- Récupération : La période de récupération après une ostéotomie de l’hallux varie en fonction de l’intervention spécifique. Les patients peuvent nécessiter une période d’immobilisation temporaire, suivie d’une rééducation pour restaurer la mobilité et la force du pied.
- Risques et complications : Comme toute intervention chirurgicale, l’arthroplastie de l’hallux comporte des risques et des complications potentiels, notamment une infection, des problèmes de cicatrisation et une perte potentielle de mobilité ou de sensibilité.
- Suites postopératoires : Il est souvent conseillé aux patients d’éviter de mettre du poids sur le pied opéré pendant la période de récupération initiale. Des chaussures spéciales ou adaptées peuvent être recommandées pour favoriser la guérison.

Arthroplastie
L’arthroplastie est une intervention chirurgicale visant à réparer ou à remplacer une articulation endommagée. Dans le cas d’un hallux valgus (oignon), l’arthroplastie peut impliquer la réparation ou le remplacement de l’articulation métatarsophalangienne (MTP), qui est l’articulation située à la base du gros orteil. Cette intervention est également connue sous le nom d’arthroplastie de l’hallux.
Voici quelques points à considérer concernant l’arthroplastie de l’hallux :
- Objectif : L’objectif principal de l’arthroplastie de l’hallux valgus est de corriger la déviation du gros orteil et de réduire la douleur associée à l’hallux valgus. Cela peut également inclure la correction d’autres anomalies structurelles de l’articulation.
- Techniques chirurgicales : Il existe différentes techniques chirurgicales pour l’arthroplastie de l’hallux, et le choix dépend de la gravité de la déformation et des besoins spécifiques du patient. Certaines interventions impliquent la résection d’une partie de l’os pour réaligner l’articulation, tandis que d’autres peuvent impliquer la fixation de l’os avec des vis ou des plaques.
- Remplacement articulaire : dans certains cas, lorsque l’articulation est gravement endommagée, une arthroplastie peut être envisagée. Cela implique souvent l’utilisation d’implants articulaires pour restaurer la fonction articulaire.
- Récupération : La période de récupération après une arthroplastie de l’hallux peut varier en fonction de l’intervention spécifique effectuée. Les patients peuvent nécessiter une période d’immobilisation, suivie d’une rééducation pour restaurer la mobilité et la force du pied.
- Risques et complications : Comme toute intervention chirurgicale, l’arthroplastie de l’hallux comporte des risques et des complications potentiels, notamment une infection, des problèmes de cicatrisation et une perte potentielle de mobilité ou de sensibilité.
- Indications : L’arthroplastie de l’hallux est généralement envisagée lorsque les mesures non chirurgicales, telles que le port de chaussures appropriées, l’utilisation d’orthèses et d’autres interventions conservatrices, ne parviennent pas à soulager les symptômes et à corriger la déformation de manière adéquate.
Il est important de noter que chaque cas d’hallux valgus est unique et que la décision d’opter pour une arthroplastie dépendra de plusieurs facteurs, notamment de la gravité de la déformation, de la présence de symptômes et de la réponse aux traitements non chirurgicaux. Les patients doivent discuter en détail avec leur chirurgien orthopédiste pour comprendre les avantages, les risques et les attentes associés à l’arthroplastie de l’hallux.
Signes radiographiques de l’hallux valgus
La radiographie du pied constitue l’examen de référence pour confirmer le diagnostic d’hallux valgus et évaluer l’importance de la déformation. Elle permet une visualisation précise de la structure osseuse, des axes articulaires et des éventuelles complications associées. Réalisée en charge, elle reproduit les conditions réelles d’appui du pied, ce qui est essentiel pour mesurer les désalignements dynamiques.
L’un des principaux critères d’analyse est l’angle métatarsien (angle IM), formé entre l’axe du premier et du deuxième métatarsien. Cet angle est normalement inférieur à 9°. Lorsqu’il dépasse ce seuil, cela témoigne d’un écartement excessif des deux métatarsiens, signalant une instabilité du premier rayon. Plus cet angle est grand, plus la déformation est avancée.
Le second paramètre fondamental est l’angle d’hallux valgus (angle HV), qui mesure l’écart entre l’axe du premier métatarsien et celui de la phalange proximale du gros orteil. Un angle supérieur à 15° indique une déviation pathologique. Les angles modérés se situent entre 15 et 30°, tandis que les formes sévères dépassent 40°.
Les radiographies permettent aussi d’évaluer le positionnement des os sésamoïdes, petits os situés sous la tête du premier métatarsien. En cas d’hallux valgus, ces os ont tendance à se déplacer latéralement avec la phalange, perdant leur alignement avec le métatarsien. Leur déplacement est un marqueur de gravité, car il perturbe la biomécanique de l’avant-pied et contribue à l’instabilité articulaire.
L’imagerie permet également de détecter une exostose médiale (la bosse osseuse caractéristique), qui correspond à une hypertrophie de la tête du premier métatarsien. Cette excroissance est fréquemment en conflit avec les chaussures, ce qui explique les douleurs localisées et les bursites associées.
En parallèle, on peut observer une ostéoarthrose de l’articulation métatarsophalangienne, surtout dans les formes évoluées ou anciennes. Elle se manifeste par un pincement de l’interligne articulaire, des ostéophytes marginaux, et parfois une sclérose sous-chondrale. Ces signes radiographiques sont importants à prendre en compte, car ils influencent le choix thérapeutique, notamment chirurgical.
Un autre aspect utile est l’analyse des autres orteils : la présence d’un deuxième orteil en griffe ou d’une subluxation MTP est fréquente dans les formes avancées d’hallux valgus. Cette observation permet d’évaluer les répercussions globales de la déformation sur l’avant-pied.
Enfin, certaines radiographies montrent un élargissement de l’avant-pied, avec un étalement visible des têtes métatarsiennes. Ce phénomène accentue les douleurs à la marche et complique le chaussage.
En résumé, la radiographie standard du pied en charge offre une cartographie détaillée de l’hallux valgus. Elle permet non seulement de poser un diagnostic de certitude, mais aussi de mesurer la sévérité de la déformation, d’identifier les atteintes associées, et d’orienter les choix thérapeutiques — qu’ils soient conservateurs ou chirurgicaux.
- Angle intermétatarsien (IM) : il s’agit de l’angle formé entre les os métatarsiens du gros orteil et du deuxième orteil. En cas d’hallux valgus, cet angle est augmenté, indiquant une déviation du gros orteil vers l’intérieur.
- Angle d’hallux valgus (HAV) : cet angle mesure la déviation du gros orteil par rapport à l’axe longitudinal du pied. Un angle d’hallux valgus plus grand indique une déviation plus importante du gros orteil.
- Déplacement de la tête métatarsienne : les radiographies peuvent montrer si la tête métatarsienne (l’extrémité osseuse du gros orteil) est déplacée vers l’intérieur par rapport à la base du métatarsien.
- Hypertrophie articulaire : les radiographies peuvent révéler une hypertrophie de l’articulation métatarsophalangienne (MTP), l’articulation à la base du gros orteil, souvent associée à la formation d’une bosse.
- Ostéophytes : Des excroissances osseuses appelées ostéophytes peuvent se former à la base du gros orteil en réponse à la friction et à l’irritation, qui peuvent également être observées sur les radiographies.

Les références
- Blitz NM, Lee T, Williams K, Barkan H, DiDimenico LA. Mise en charge précoce après arthrodèse lapidus modifiée : une revue multicentrique de 80 cas. J Foot Ankle Surg. 2010 juill.-août ; 49(4) : 357-62. [ PubMed ]
- Coughlin MJ, Jones CP. Halluxvalgus : démographie, étiologie et évaluation radiographique. Foot Ankle Int. 2007 juill.;28(7):759-77. [ PubMed ]
- Nix S, Smith M, Vicenzino B. Prévalence de l’hallux valgus dans la population générale : revue systématique et méta-analyse. J Foot Ankle Res. 27 septembre 2010 ; 3 : 21. [ Article PMC gratuit ] [ PubMed ]
- Glasoe WM, Nuckley DJ, Ludewig PM. Hallux valgus et premier segment de la voûte métatarsienne : une perspective biomécanique théorique. Phys Ther. 2010 Jan;90(1):110-20. [ PubMed ]
- Wülker N, Mittag F. Le traitement de l’hallux valgus. Dtsch Arztebl Int. 2012 déc. ; 109(49) : 857-67 ; quiz 868. [ Article PMC gratuit ] [ PubMed ]6. Giannini S, Faldini C, Nanni M, Di Martino A, Luciani D, Vannini F. Une technique mini-invasive pour le traitement chirurgical de l’hallux valgus : simple, efficace, rapide et peu coûteuse (SERI). Int Orthop. 2013 sept. ; 37(9) : 1805-13. [ Article PMC gratuit ] [ PubMed
- .Gilheany MF, Landorf KB, Robinson P. Halluxvalgus et hallux rigidus : une comparaison de l’impact sur la qualité de vie liée à la santé chez les patients consultant des chirurgiens du pied en Australie. J Foot Ankle Res. 11 décembre 2008 ;1(1) :14. [ Article PMC gratuit ] [ PubMed ]
- Krannitz KW, Fong HW, Fallat LM, Kish J. Effet du tabagisme sur la cicatrisation osseuse radiographique après chirurgie élective du pied. J Foot Ankle Surg. 2009 sept.-oct. ; 48(5) : 525-7. [ PubMed ]
- Dux K, Smith N, Rottier FJ. Résultats après ostéotomie métatarsienne pour hallux valgus : étude de la fonction postopératoire du pied à l’aide de la version abrégée de l’indice de fonction du pied révisé. J Foot Ankle Surg. 2013 juill.-août ; 52(4) : 422-5. [ PubMed ]



















